La más avanzada tecnología

¿Qué es la ecografía?

La ecografía es un procedimiento que a través de ondas de ultrasonido permite obtener imágenes de diferentes estructuras del organismo y con base en ellas, realizar diagnósticos médicos. También es llamada ultrasonografía.
La Obstetricia es una de las áreas en la que se emplean más frecuentemente los estudios ecográficos porque permiten hacer un seguimiento permanente al bebé y la madre durante el embarazo. Al no utilizar Rayos X puede ser realizada con total seguridad en mujeres gestantes.
La tecnología ha avanzado hasta el punto de contar hoy en día con equipos ecográficos como los del doctor Chamat, que muestran imágenes en 5D. Este desarrollo tecnológico es de gran ayuda para el médico y para los padres, quienes pueden conocer las características físicas de su bebé gracias a videos y fotografías de excelente resolución.

Veamos los diferentes tipos de ecografías que realizamos en nuestra consulta:

Ecografía 3D

Es una ecografía que permite tomar una imagen tridimensional del bebé, es decir, una fotografía a color que se ve mucho más real que la ecografía en blanco y negro.

Ecografía 4D

Es una ecografía 3D en movimiento, o sea, en tiempo real, que posibilita observar al bebé mientras abre la boca o los ojos y realiza diferentes acciones, mostrando a los padres una imagen más clara y comprensible de la vida del bebé en el útero.

Ecografía 5D

Es una ecografía en tiempo real y High Definition (conocida como FRV o Fetal Realistic View) que muestra al bebé en movimiento. Se logran imágenes casi como si estuviera ya nacido.
El estudio ecográfico 5D permite una mayor compenetración de la familia con el bebé, dejando un maravilloso recuerdo en video y fotografías a color, al mismo tiempo que brinda seguridad y tranquilidad a los padres sobre el bienestar del nuevo miembro de la familia. A esta cita generalmente van acompañados de los demás hijos de la pareja, abuelos y otros familiares, porque es una excelente oportunidad para apreciar la imagen más real del bebé.
Esta ecografía siempre se acompaña de una de Detalle anatómico – Nivel 3, en la cual se descartan malformaciones.

Ecografía de Nivel 3 – Detalle anatómico

Esta debe realizarse idealmente entre la semana 18 y la semana 22 del embarazo, y tiene como objetivo contar con un detalle anatómico del bebé a través de la evaluación de todos los órganos, desde la cabeza hasta los pies. Se determina el crecimiento fetal y el estado del cordón umbilical, la placenta y el líquido amniótico.

Ecografía de tamizaje genético y de preeclampsia, semana 11-13+6

Se realiza entre la semana 11 y máximo un día antes de cumplir 14 semanas (semana 13 + 6 días). Permite medir la traslucencia nucal (acumulación de líquido en la piel de la nuca del bebé), evaluar la presencia o no del hueso nasal, la circulación sanguínea en el conducto venoso (un diminuto vaso sanguíneo que lleva sangre al corazón) y la válvula tricúspide del corazón, así como otros parámetros. La alteración en alguna de estas variables aumenta el riesgo de Síndrome de Down (Trisomía 21) así como de otras alteraciones cromosómicas menos frecuentes.
Sirve también para evaluar riesgos de espina bífida y de cardiopatías mayores.
En este estudio también se evalúan las arterias uterinas que son los vasos sanguíneos de la mamá que nutren la placenta. Esto establece un riesgo alto o bajo de desarrollar preeclampsia y restricción del crecimiento fetal. En algunos casos se puede determinar el sexo fetal.

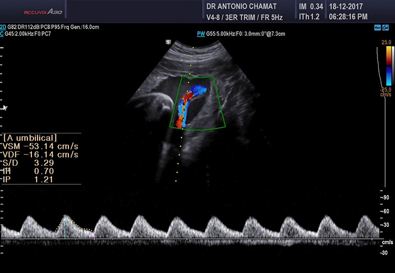
Ecografía Doppler de circulación fetal y placentaria

Consiste en evaluar la circulación sanguínea a nivel del cordón umbilical (que nos dice cómo está funcionando la placenta) y en diferentes vasos sanguíneos fetales. El feto puede experimentar cambios en la circulación sanguínea para compensar y proteger sus órganos principales como cerebro y corazón, esto puede darse en situaciones como restricción del crecimiento fetal, preeclampsia, inmunización por el tipo de sangre (Rh), malformaciones cardiacas y de otro tipo, así como en otras enfermedades fetoplacentarias.
El doppler también es de suma utilidad para evaluar la inserción de la placenta la cual en ocasiones puede estar anormalmente adherida (Acretismo placentario) cuando existe una cicatriz uterina previa como en las embarazadas que ya tienen una cesárea anterior.

Ecografía Obstétrica

Esta se puede realizar desde el primer trimestre de embarazo y permite, con una sola medida, calcular la edad gestacional. Se realiza principalmente por vía transvaginal y en algunos casos es posible hacerla por vía abdominal. Es una ecografía básica en la cual se informa la posición fetal, se toman las medidas de biometría y peso y se revisa el estado de los anexos ovulares (cordón umbilical, líquido amniótico y placenta).

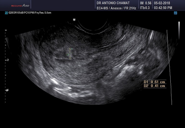
Ecografía Ginecológica transvaginal y transabdominal

Su objetivo es evaluar los genitales internos femeninos (útero, ovarios y anexos) y por este método encontrar la causa de diferentes síntomas de la mujer como dolor pélvico o sangrado. La vía transabdominal se emplea en mujeres que no han iniciado vida sexual y en otros casos como útero u ovarios muy aumentados de tamaño, se realiza con vejiga llena.
La vía transvaginal es la ideal ya que observa mucho más de cerca los genitales internos y se obtienen imágenes más definidas. Se realiza con vejiga vacía y se puede practicar solo a mujeres que hayan iniciado vida sexual.

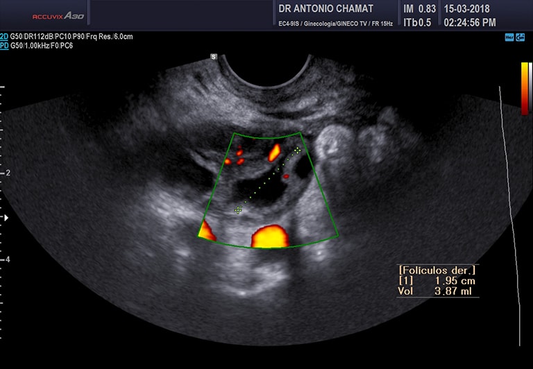
Foliculograma

Es un seguimiento ecográfico por vía transvaginal (3 ó 4 ecografías en total) con el objetivo de encontrar la fecha de ovulación y así determinar los días fértiles. Este estudio es útil en parejas con problemas de fertilidad y en mujeres con trastorno de la ovulación.

Accuvix A30 de Samsung Medison

“El ecógrafo es la herramienta más importante en mi labor diaria, me ha facilitado el diagnóstico y me ha permitido elevar la calidad en la atención a mis pacientes. El que tengo actualmente es un equipo Accuvix A30 de Samsung Medison y realmente me cambió para bien la práctica de mi especialidad. Además, con la posibilidad de la ecografía 3D-4D-5D, la comprobación del bienestar fetal, así como la detección de malformaciones, se optimiza cada día más”.
Definitivamente, una buena imagen vale más que mil palabras. Y un buen video, ¡será tu mejor recuerdo!

Todas la imágenes de los estudios ecográficos que aquí se publican han sido tomadas por el doctor Antonio Chamat Barrios en su equipo Accuvix A30 de Samsung Medison.